サンプル画像
このページでは当社で撮像した面白いMRI画像を紹介しています。
- ルービックキューブの内部構造
-
3次元MRIのデータを再構築することで、内部構造を観察することができます。
- コロッケの水分と油分の分布画像
-
左:コロッケの水分分布画像 右:コロッケの油分分布画像
水分と油分それぞれの分布を画像化し観察することもできます。 - 生たまごの画像
-
左上:T2強調画像で、比較的自由に動ける水が強調されます。
右上:T1強調画像で、比較的組織と強く結びついた水が強調されます。
左下:プロトン密度強調画像です。
右下:水からの信号を抑制したプロトン密度強調画像で、ファットなどの分布がわかります。 - 冷凍みかんが室温で解凍される様子
-
固体の水からは、ほとんど信号が検出できませんが、液体になる(解ける)につれてだんだん強くなってきます。
左上: 60分後 右上: 2時間後 左下: 3時間後 右下: 4時間後 - チョココーティング・ビスケット
-
輪郭の白い部分がチョコレート、中の黒い部分がビスケットで、 その間にサンドしたクリームが白く見えます。
- 素人とプロが作ったクッキー生地の比較
-
左が素人、右がプロが作ったもの プロが作った生地の方が均一に混ざっていることがわかります。
- アカゲサルの resting state fMRI
-
- アカゲサルの resting state fMRI
-
Oxytocin 投与前後の functional connectivity(oculomotor network の cross correlation)
アカゲザル(n=2)のグループ解析 - ラットのresting state fMRI
-
- CEST法による画像
-
- 小動物のfMRI
-
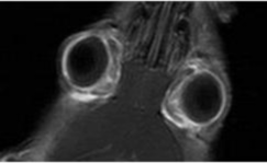
- マウスの涙が眼球を覆っている様子
-
左:マウスの画像 中央:涙を強調した画像 右:通常の画像
中央の画像では、マウスの眼球のまわりにある涙を観察できます。 -
- マウスの癌における血管新生の様子
-
約5mm程の癌の血管透過性マッピング
青>黄>赤>白 の順に透過性が大きくなっています。 - 脳梗塞ラットのfMRI
-
左:T2強調画像 白い部位は脳梗塞、オレンジ色の部位は有意(P<0.01)に信号強度が上昇した部位を表しています。
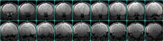
右:脳梗塞モデル(手術一週間後)の左右大脳皮質感覚野における信号強度の平均と経時変化 梗塞病巣の観察される右側では電気刺激に応じた反応が得られていないことがわかります。 - コモンマーモセットの脳の画像
-
コモンマーモセットの前額断T2強調画像
- ラット心臓・脳脊髄液のシネ画像
-
上:ラット心臓のシネ画像 トリガーからパルス起動までの時間を変化させ、
それを編集することで心臓が動いているようなシネ画像を撮ることもできます。
中央・下:ラット脳脊髄液の拍動の様子 -
- ラット脳の出血性ストロークの画像
-
右の側頭部の出血に伴い、同部位での信号強度が上昇しています。
(Insight neuroimaging のご好意により掲載) - ヒトの指先の輪切りの画像
-
爪(青の矢印)がはっきりわかります。結構内部まで入り込んでいるのがわかります。
(産業技術総合研究所 多田充徳博士のご好意により掲載)